Bár még mindig sok a rémtörténet, a bölcsességfog eltávolítás a modern fogászatban valójában egy rutin eljárás, amely az esetek többségében nem okoz különösebb zavart a páciens életében. A megfelelő előkészületekkel ez a szájsebészeti beavatkozás gyakorlatilag fájdalommentes, és a gyógyulási időt követően Ön újra zavartalanul élvezheti mindennapjait.
A bölcsességfog eltávolítása ráadásul nem pusztán a fájdalom megszüntetésére szolgál, de fontos lépés az egészséges, esztétikus fogsor és a szájhigiénia fenntartása felé is. A Spektrum Fogászaton tapasztalt szájsebészek gondoskodnak róla, hogy a teljes folyamat biztonságos, gyors és stresszmentes legyen.
Akkor elképzelhető, hogy a bölcsességfoga okozza a problémát! A lüktető, tompa vagy akár éles fájdalom a száj hátsó részében ugyanis az egyik leggyakoribb előjele annak, hogy a bölcsességfoggal valami nincs rendben.
Ez pedig nem csupán a fog körül okoz kellemetlenséget, de akár az életminőségünket is jelentősen ronthatja. Előfordulhat, hogy a fájdalom hatására nehezen tudunk enni, aludni, koncentrálni, és még a legegyszerűbb mindennapi tevékenységek is megpróbáltatássá válhatnak.
Ráadásul a háttérben komolyabb problémák is meghúzódhatnak: egy félig kibújt bölcsességfog körül sokkal könnyebben megtelepedhetnek a baktériumok, ami gyulladáshoz, cisztához, sőt akár a szomszédos fog károsodásához is vezethet.
Sokan halogatják a fogorvosi vizitet, és próbálkoznak fájdalomcsillapítókkal, ezek azonban csak ideiglenes enyhülést hoznak, és nem kerülhetőek el velük a kellemetlen következmények.
Éppen ezért elengedhetetlen, hogy a problémás bölcsességfogat képzett szájsebész vizsgálja meg, és szükség esetén biztonságos, kíméletes eltávolítással szüntesse meg a fájdalom forrását. Így Ön újra zavartalanul élvezheti mindennapjait, és megelőzheti az esetleges szövődményeket.
Úgy érzi, hogy a bölcsességfogai miatt a többi foga összetorlódhat vagy elmozdulhat? Esetleg ínygyulladást vagy kellemetlen érzést tapasztalt, és aggódik a környező fogak állapota miatt?
A bölcsességfogak gyakran szűk helyen vagy olyan szögben próbálnak előtörni, hogy nyomást gyakorolnak a már meglévő fogakra. Ez lassan, szinte észrevétlenül hat: idővel a szépen sorakozó fogak elmozdulhatnak, ami végül a fogak kusza, torlódott megjelenéséhez vezet. A mosoly esztétikájában beállt változás pedig hatással lehet az életünk minden területére: csökkenhet az önbizalmunk, tudatosan vagy akár tudattalanul kevesebbet mosolygunk majd, vagy épp a szánk elé tartjuk a kezünket.
Fogszabályozó kezelés előtt is kiemelten fontos lehet a bölcsességfog eltávolítás: nem ritka ugyanis, hogy azok a páciensek, akik egyébként fogszabályozással sikeresen elérték a rendezett mosolyt, a bölcsességfogak előtörése miatt újra torlódással szembesülnek.
Ráadásul egy problémás bölcsességfog miatt nem csak a mosoly esztétikája lehet veszélyben: az összetorlódott fogakat nehezebb alaposan megtisztítani, így könnyebben alakul ki fogkő, ínygyulladás vagy akár szuvasodás.
A Spektrum Fogászat szájsebészei kíméletesen, gyorsan és szakszerűen távolítják el a problémás bölcsességfogat, és gondoskodnak róla, hogy Önnek ne kelljen aggódnia a fogak torlódása, és így a mosolyának esztétikája és egészsége miatt!

Vezető fogszakorvos

Fogszakorvos

Fogorvos

Fogorvos

Fogorvos

Fogorvos

Dentálhigiénikus

Dentálhigiénikus

Fogászati asszisztens

Dentálhigiénikus

Fogászati asszisztens

Fogászati asszisztens

Fogászati asszisztens
A bölcsességfogak, vagy harmadik őrlőfogak gyakran okoznak kellemetlenségeket. Ezek a fogak későn, általában 18 és 25 éves kor között bújnak elő, amikorra már a többi fogunk elfoglalta állandó helyét. Ez a késői és sokszor nehézkes előtörés az oka annak, hogy a bölcsességfogak gyakran járnak lüktető fájdalommal, gyulladással és egyéb szövődményekkel.
A bölcsességfogak evolúciós okokból vannak jelen, és más emberszabásúak is rendelkeznek vele, nem csak mi. De olyanok is akadnak, akiknek egyetlen bölcsességfoguk sincs.
Jelenlétük miértje pedig őseink étrendjében keresendő: a kezdetekben ugyanis keményebb és rostosabb ételeket fogyasztottak; nyers húst, gyökereket, magvakat és más, nehezebben rágható ételeket. Ehhez nagyobb állkapocsra és több őrlőfogra volt szükségük, így tudták ugyanis csak hatékonyan felaprítani a táplálékot. A bölcsességfogak tehát egyfajta „tartalék” őrlőfognak számítottak, amelyekre valóban szükség volt a túléléshez.
Az idők során az emberi étrend (és életvitel) azonban jelentősen megváltozott: egyre több eszköz a rendelkezésünkre állt, fejlődött a technológia és hatékonyabb lett a táplálék feldolgozása. Elkezdtünk párolni, őrölni és finomítani, az ételek sokkal puhábbá váltak, így jóval könnyebben és lényegével kevesebb energiabefektetéssel tudjuk megrágni őket.
Ennek pedig az lett az eredménye, hogy az állkapocs mérete fokozatosan csökkent, miközben a fogak száma nem változott. Ezért van az, hogy a bölcsességfogaknak gyakran nincs elég helyük rendesen kibújni, emiatt félig előtörve, ferdén vagy akár teljesen az íny alatt maradva nőnek, ami fájdalmat, gyulladást vagy torlódást okozhat.
A bölcsességfogak helyzete és állapota komoly hatással lehet a száj egészségére, a fogak rendezettségére és akár a mindennapi életminőségre is. Az alábbiakban összeszedtük a legjellemzőbb eseteket, amikor az eltávolítás mindenképpen indokolt!
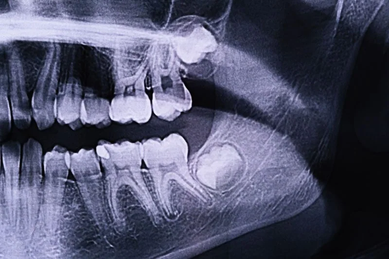
A bölcsességfog eltávolítása előtt természetesen először alaposan megvizsgáljuk a szájüreget: panoráma röntgen készül, valamint szükség esetén 3D CBCT felvétellel gondoskodunk a még pontosabb diagnózisról és a beavatkozás teljes biztonságáról.
A bölcsességfog körüli gyulladás (pericoronitis) az egyik leggyakoribb ok az eltávolításra. Ez akkor alakul ki, amikor a fog csak részlegesen tör elő, és az íny egy része lefedi azt. Ennek során sok páciens először csak enyhe kellemetlenséget tapasztal, ami idővel elmúlik – vagy legalábbis úgy tűnik.
A gyulladás vagy fájdalom azonban nem csupán rövid távú kellemetlenséget jelent, hanem előrevetítheti komolyabb szövődmények kialakulását is, így például szuvasodást, ínybetegséget vagy a fogak elmozdulását. Sőt, akár átterjedhet a környező szövetekre is. Mivel ez a folyamat szinte észrevétlenül zajlik, ezért sok páciens csak akkor veszi észre a problémát, amikor már esztétikai vagy higiéniai szempontból is kellemetlenséget okoz.
A részben előbújt bölcsességfog azért is problémás, mert az íny és a fog közötti résbe könnyebben bejutnak az ételmaradékok, ami mivel nehezebben tisztítható, ezért ideális táptalajt teremt a baktériumok számára. Ha kialakul a gyulladás, akkor erős, lüktető fájdalom, az íny duzzanata és vörössége, nyelési nehézségek, kellemetlen szájszag, sőt akár láz és nyirokcsomó-duzzanat is jelentkezhet.
Ahogy azt fentebb is említettük, az emberi állkapocs mérete az évszázadok során csökkent, így sok esetben egyszerűen nincs elegendő hely a bölcsességfogak számára. Ilyenkor természetesen fennáll annak a kockázata, hogy a bölcsességfogak növekedésének előrehaladtával, elkezdenek összetorlódnia a fogaink.
Ez a negatív esztétikai következmények mellett akár a harapás hatékonyságát is ronthatja, és nagyban megnehezítheti az optimális szájhigiénia fenntartását. Az összetorlódott fogak között könnyebben megtapadnak az ételmaradékok, ami megnöveli a fogszuvasodás és az ínygyulladás kockázatát. Így pedig közvetetten akár a teljes fogazatunk egészsége veszélyben lehet, és a magabiztosságunk is jelentősen csökkenhet a kusza, rendezetlen fogak miatt.
Sokan először nem is gondolnák, hogy a homloktáji vagy halántéki fejfájás, a fül körüli kellemetlenség vagy éppen a szájnyitáskor érzett feszülés hátterében a bölcsességfog is állhat. Márpedig a bölcsességfogak helytelen növekedése vagy gyulladása közvetlenül befolyásolhatja az állkapocs ízületeit és azok működését.
Ilyenkor a bölcsességfog eltávolítása nem csupán a fájdalom megszüntetését szolgálja, hanem megelőzheti a hosszú távú ízületi és fejfájással kapcsolatos problémák kialakulását is.
A bölcsességfog eltávolítása fogszabályozó kezelés előtt is indokolt lehet. Ha ugyanis egy problémás bölcsességfog nincs eltávolítva a kezelés megkezdése előtt, akkor a későbbiekben eltolhatja a már szabályos helyzetben álló fogakat, tönkretéve ezzel a hosszú ideig tartó, költséges fogszabályozó kezelés eredményét.
Ez pedig akkor is előfordulhat, ha a fog jelenleg nem okoz problémát. Éppen ezért fontos, hogy a fogszabályzás megkezdése előtt alaposan felmérjék a bölcsességfogak helyzetét, és szükség esetén eltávolítsák azokat.
A bölcsességfog eltávolítása történhet „hagyományos” foghúzás során, valamint szájsebészeti műtét útján. Ezt minden esetben a páciens egyedi helyzete alapján mérlegeli a fogorvos, aki alapos vizsgálatot követően határozza meg az eltávolítás módját. Az alábbiakban bemutatjuk, hogy hogyan zajlik a két metódus!
Ha a bölcsességfog teljesen előbújt, megfelelő helyzetben áll és jól hozzáférhető, akkor elegendő lehet a foghúzás is – azonban fontosnak tartjuk megemlíteni, hogy ez általában az esetek kevesebb mint 10%-ában reális, valamennyi alkalommal műtéti feltárásra van szükség.
A foghúzásos módszer értelemszerűen gyorsabb és kevésbé megterhelő a páciens számára: helyi érzéstelenítéssel történik, melyet követően a fogorvos speciális eszközökkel fellazítja a fogat a fogmederben, majd óvatos, de határozott mozdulatokkal eltávolítja azt.
Ez a megoldás viszonylag kíméletes, és a felépülés is gyorsabb, mint a műtéti beavatkozás során. Azonban, ahogy fentebb említettük, ehhez elengedhetetlen, hogy a bölcsességfog akadály nélkül hozzáférhető legyen és a környező szövetek épek legyenek.
A Spektrum Fogászat tapasztalt szakemberei ez esetben is maximális odafigyeléssel és profizmussal járnak el, így a foghúzás biztonságos, fájdalommentes és gyors lesz.
Ha a bölcsességfog ferdén nőtt, nem tudott teljesen előtörni, vagy az állcsontban részben, esetleg teljes egészében az íny alatt maradt, akkor szájsebészeti eltávolításra van szükség. Ez már egy összetettebb, mégis rutinszerűen végzett beavatkozás, amelyet szintén helyi érzéstelenítésben végeznek.
A folyamat a bölcsességfog és a szájüreg alapos felmérésével kezdődik. A szájsebész vagy a fogorvos modern röntgendiagnosztikai eljárás során felvételt készít a fogról, hogy felmérje annak pontos helyzetét, illetve a szomszédos foghoz való viszonyát. Ez leggyakrabban panoráma röntgennel történik, azonban bizonyos esetekben kiegészül egy 3D CBCT felvétellel is – ha például nem egyértelmű a fog és az idegek viszonya.
Ezt követően előkészíti a pácienst a beavatkozásra: egyszerűbb esetben, a páciens beleegyezését követően akár azonnal, míg összetettebb esetben a következő egyeztetett időpont alkalmával végzi el a szájsebész a beavatkozást.
A sebészeti kisműtét során a szájsebész először egy kis metszést ejt az ínyen, hogy hozzáférjen a rejtett foghoz. Szükség esetén a csontból is eltávolít egy kisebb részt, illetve a fogat több darabra oszthatja, hogy könnyebben és kíméletesebben tudja kiemelni azt. A fog eltávolítását követően a sebet alaposan megtisztítja, majd összevarrja, illetve körülbelül egy hét múlva eltávolítja a varratokat is.
A műtétet követően duzzanat, feszülés, kisebb vérzés vagy átmeneti szájnyitási nehézség előfordulhat, de ezek természetes velejárói a gyógyulási folyamatnak, és általában viszonylag hamar megszűnnek. A beavatkozás után javasolt egy óránként hideg borogatást alkalmazni, illetve kerülni a kemény, rostos ételeket. A seb tisztán tartása szintén kiemelten fontos, hiszen ezzel megelőzhetők a fertőzések és elősegíthető a gyorsabb gyógyulás.
Bár ez elsőre ijesztőnek tűnhet, a Spektrum Fogászaton nem kell aggódnia: tapasztalt szájsebészeink a lehető legnagyobb gondossággal és precizitással végzik a bölcsességfog eltávolító műtétet, így Ön a lehető leghamarabb visszatérhet a megszokott rutinjaihoz.
A bölcsességfog műtét nem igényel különösebb előkészületet, azonban néhány tanácsot érdemes megfogadni:
A bölcsességfog műtét akkor lehet igazán sikeres, ha a beavatkozás után betartja a szájsebész által javasolt utasításokat.
Közvetlenül a műtét után az érzéstelenítés még több órán át hat, ezért ilyenkor fontos, hogy kerülje az étkezést. Ahogy az érzéstelenítő hatása múlni kezd, tompa fájdalom, lüktetés jelentkezhet, amely természetes velejárója a gyógyulásnak, hiszen a szájsebészeti műtét során a fog körüli szövetek, a csont és az íny is apróbb traumát szenvednek. A fájdalom általában az első 24-48 órában érezhető jobban, ezt követően fokozatosan csökken.
A pihenés és a jeges borogatás szintén lényeges lépés a bölcsességfog műtét után: az első 24 órában érdemes jeges borogatást helyezni az érintett terület külső részére (tehát az arcra) – egy óránként 10-15 perc erejéig.
Az első napokban csak puha, langyos ételeket fogyasszon. Kerülje a forró, fűszeres, savas és darabos ételeket, amelyek irritálhatják a sebet, vagy bejuthatnak oda. A dohányzás elhagyása is kiváltképp javasolt a gyógyulási időszakban, hiszen a füst és a nikotin irritálhatják a sebet és lassítják annak gyógyulását.
A szájhigiénia kiemelt szerepet tölt be: az első 24 órában tilos erőteljesen öblögetni, köpködni vagy szívogatni a sebet, mert ez elmozdíthatja a vérrögöt, ami egy fájdalmas állapotot, az úgynevezett „száraz fogmeder” szindrómát (alveolitis sicca) okozhat. A fogmosást a seb környékén kerülje az első napokban, de a többi fogat továbbra is alaposan tisztítsa.
A bölcsességfog eltávolítás gyakran szükségessé válik fogszabályozó kezelés előtt is – annak egyfajta megelőző, „nulladik” lépéseként. Mivel ennek kapcsán a fogászok között megoszlanak a vélemények, az eltávolítást mindig a páciens egyedi helyzete alapján szükséges mérlegelni.
A beavatkozást éppen ezért mindig szakorvosi diagnózis előzi meg – röntgen vagy 3D CBCT segítségével az orvos pontosan látja, hogy szükséges-e a műtét. Ha igen, a legjobb, ha még a fogszabályozó felhelyezése előtt, néhány héttel vagy egy-két hónappal megtörténik az eltávolítás, így a szöveteknek van ideje regenerálódni.
Fájdalmas a bölcsességfog eltávolítás?
Az érzéstelenítésnek köszönhetően a műtét közben semmilyen fájdalom nem érezhető. Miután az érzéstelenítő hatása elmúlik, tompa fájdalom, valamint lüktetés jelentkezhet, ez azonban teljesen normális, és fájdalomcsillapítóval jól kezelhető. A fájdalom 24-48 óra után fokozatosan csökkeni kezd.
Mennyi idő alatt gyógyul be a seb?
A kezdeti gyógyulás (duzzanat csökkenése, fájdalom enyhülése) általában 3-7 napot vesz igénybe. A varratokat 7-10 nap után távolítják el a fogászaton. A teljes gyógyulás – a csontosodás és szöveti regeneráció, amikor a seb teljesen behúzódik és begyógyul-, azonban több hetet, vagy akár néhány hónapot is igénybe vehet.
Érdemes minél előbb megszabadulni a bölcsességfogaktól?
Nem feltétlenül. Ez egy tévhit, és az esetek többségében nem javasolt a bölcsességfog idő előtti eltávolítása. Csak akkor javasolt bölcsességfogat eltávolítani, ha problémát okoz (pl. fájdalom, gyulladás, helyhiány, torlódás, ciszta).
Éppen ezért érdemes évente legalább egyszer fogászati állapotfelmérésen részt venni, ahol a fogorvos alaposan megvizsgálhatja a szájüreget, a fogakat és így a bölcsességfogak helyzetét és állapotát.
Ha több bölcsességfogat is el kell távolítani egyszerre, akkor hogyan zajlik a folyamat?
Ez függ a fogak helyzetétől, a probléma összetettségétől és az Ön általános egészségi állapotától. Ha ideálisak a körülmények, akkor általában kettő-három, de akár négy fog eltávolítása is megoldható egyszerre. Mind a négy fog eltávolítása előfordul, hogy altatásban vagy bódításban történik.
Fontos azonban megemlíteni, hogy gyermekeknél kifejezetten nem javasolt a négy fog egy időben történő eltávolítása, illetve ütemezés szempontjából jobb várni a jobb és bal oldali eltávolítás között körülbelül 5 hetet.
Mennyibe kerül a bölcsességfog műtéti eltávolítása?
A bölcsességfog eltávolítás ára számos tényezőtől függ, mint például a fog helyzete (például impaktált-e vagy teljesen áttört már a fogínyen), a beavatkozás bonyolultsága, illetve az alkalmazott érzéstelenítés (helyi vagy altatás). Általánosságban kijelenthető, hogy a bölcsességfog műtét ára 40 000-70 000 Ft között mozog.
Amennyiben azonban a fog mélyen impaktált (tehát rejtve van az állkapocsban), vagy altatásban történik a beavatkozás, az ár elérheti akár a 70 000-100 000 Ft-ot is foganként.
Terhesség alatt eltávolítható a bölcsességfog?
Noha várandósság alatt is eltávolítható a bölcsességfog, minden esetben érdemes először a nőgyógyásszal konzultálni. Első trimeszterben a legtöbb fogorvos halasztást javasol, hacsak nem akut, sürgősségi esetről van szó (például erős fájdalom, gyulladás vagy tályog). Röntgen vagy CT felvétel ilyenkor nem készül.
Többek között ezért is fontos a rendszeres fogászati állapotfelmérés, hiszen így nagyobb eséllyel előzhető meg, hogy egy fogászati probléma a várandósság alatt váljon súlyosabbá.
Az időpontja akkor érvényes, amint telefonon vagy e-mailben megerősítjük. Fontos, hogy várja meg a visszaigazolást!